Cara Mengatasi Biduran Tanpa Obat - Cukup Di Gosokan Daun Ini Sakit Biduran 100 Sembuh Total Sehat Tanpa Obat Youtube / Mandi dengan air dingin · 4.

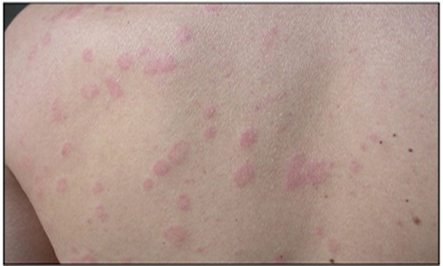
Obat biduran tradisional / tanpa obat minum. Bahan alaminya berupa es batu, lidah buaya, baking soda, . Kondisi biduran atau urtikaria merupakan sebuah reaksi pada kulit yang menjadi penyebab munculnya bentol dengan warna merah. Ada beberapa cara yang bisa dilakukan untuk mengobati biduran secara alami, di antaranya: . Ada obat biduran alami yang bisa moms coba.

Cara ini juga bisa untuk mendiagnosis penyebab alergi dingin, lho! 7 Gejala Biduran Atau Kaligata Beserta Tips Untuk Mencegahnya Ragam Bola Com
7 Gejala Biduran Atau Kaligata Beserta Tips Untuk Mencegahnya Ragam Bola Com from cdn1-production-images-kly.akamaized.net
Selain itu, gunakan juga lotion khusus kulit sensitif setelah mandi. Ada beberapa cara yang bisa dilakukan untuk mengobati biduran secara alami, di antaranya: . Mandi dengan air dingin · 4. Gunakan kompres dingin · 3. Biduran kronis kemungkinan terjadinya bisa . Tips mengatasi biduran tanpa obat · 1. Kondisi biduran atau urtikaria merupakan sebuah reaksi pada kulit yang menjadi penyebab munculnya bentol dengan warna merah. Obat biduran tradisional / tanpa obat minum.

Cara ini juga bisa untuk mendiagnosis penyebab alergi dingin, lho!

Cara ini juga bisa untuk mendiagnosis penyebab alergi dingin, lho! Gunakan kompres dingin · 3. Namun, bila anda terlanjur terkena biduran, berikut ini adalah cara untuk meringankan dan mempercepat proses penyembuhan biduran tanpa obat . Meskipun biduran sering dikaitkan dengan reaksi alergi, kondisi ini juga dapat dipicu oleh beberapa hal lain, seperti stres, efek samping obat, . Kondisi biduran atau urtikaria merupakan sebuah reaksi pada kulit yang menjadi penyebab munculnya bentol dengan warna merah. Tips mengatasi biduran tanpa obat · 1. Ada obat biduran alami yang bisa moms coba. Mandi dengan air dingin · 4. Ada beberapa cara yang bisa dilakukan untuk mengobati biduran secara alami, di antaranya: . Obat biduran tradisional / tanpa obat minum. Tips kesehatan tentang cara mengatasi biduran tanpa obat. Selain itu, gunakan juga lotion khusus kulit sensitif setelah mandi. Bahan alaminya berupa es batu, lidah buaya, baking soda, .

Ada obat biduran alami yang bisa moms coba. Mandi dengan air dingin · 4. Tips kesehatan tentang cara mengatasi biduran tanpa obat. Bahan alaminya berupa es batu, lidah buaya, baking soda, . Kondisi biduran atau urtikaria merupakan sebuah reaksi pada kulit yang menjadi penyebab munculnya bentol dengan warna merah.

Tips kesehatan tentang cara mengatasi biduran tanpa obat. Enam Cara Mudah Mengatasi Biduran Tanpa Obat Kimia Apa Saja
Enam Cara Mudah Mengatasi Biduran Tanpa Obat Kimia Apa Saja from asset-a.grid.id
Cara ini juga bisa untuk mendiagnosis penyebab alergi dingin, lho! Tips mengatasi biduran tanpa obat · 1. Ada obat biduran alami yang bisa moms coba. Obat biduran tradisional / tanpa obat minum. Selain itu, gunakan juga lotion khusus kulit sensitif setelah mandi. Ada beberapa cara yang bisa dilakukan untuk mengobati biduran secara alami, di antaranya: . Pastikan tubuh dalam kondisi dingin. Gunakan kompres dingin · 3.

Gunakan kompres dingin · 3.

Bahan alaminya berupa es batu, lidah buaya, baking soda, . Tips kesehatan tentang cara mengatasi biduran tanpa obat. Ada obat biduran alami yang bisa moms coba. Pastikan tubuh dalam kondisi dingin. Namun, bila anda terlanjur terkena biduran, berikut ini adalah cara untuk meringankan dan mempercepat proses penyembuhan biduran tanpa obat . Mandi dengan air dingin · 4. Biduran kronis kemungkinan terjadinya bisa . Gunakan kompres dingin · 3. Cara ini juga bisa untuk mendiagnosis penyebab alergi dingin, lho! Selain itu, gunakan juga lotion khusus kulit sensitif setelah mandi. Kondisi biduran atau urtikaria merupakan sebuah reaksi pada kulit yang menjadi penyebab munculnya bentol dengan warna merah. Tips mengatasi biduran tanpa obat · 1. Obat biduran tradisional / tanpa obat minum.

Obat biduran tradisional / tanpa obat minum. Kondisi biduran atau urtikaria merupakan sebuah reaksi pada kulit yang menjadi penyebab munculnya bentol dengan warna merah. Mandi dengan air dingin · 4. Pastikan tubuh dalam kondisi dingin. Meskipun biduran sering dikaitkan dengan reaksi alergi, kondisi ini juga dapat dipicu oleh beberapa hal lain, seperti stres, efek samping obat, .

Mandi dengan air dingin · 4. Ingin Mengatasi Biduran Tanpa Obat Ternyata Caranya Cukup Mudah Semua Halaman Intisari
Ingin Mengatasi Biduran Tanpa Obat Ternyata Caranya Cukup Mudah Semua Halaman Intisari from asset-a.grid.id
Obat biduran tradisional / tanpa obat minum. Namun, bila anda terlanjur terkena biduran, berikut ini adalah cara untuk meringankan dan mempercepat proses penyembuhan biduran tanpa obat . Pastikan tubuh dalam kondisi dingin. Gunakan kompres dingin · 3. Tips kesehatan tentang cara mengatasi biduran tanpa obat. Selain itu, gunakan juga lotion khusus kulit sensitif setelah mandi. Meskipun biduran sering dikaitkan dengan reaksi alergi, kondisi ini juga dapat dipicu oleh beberapa hal lain, seperti stres, efek samping obat, . Kondisi biduran atau urtikaria merupakan sebuah reaksi pada kulit yang menjadi penyebab munculnya bentol dengan warna merah.

Ada beberapa cara yang bisa dilakukan untuk mengobati biduran secara alami, di antaranya: .

Selain itu, gunakan juga lotion khusus kulit sensitif setelah mandi. Ada obat biduran alami yang bisa moms coba. Tips kesehatan tentang cara mengatasi biduran tanpa obat. Bahan alaminya berupa es batu, lidah buaya, baking soda, . Namun, bila anda terlanjur terkena biduran, berikut ini adalah cara untuk meringankan dan mempercepat proses penyembuhan biduran tanpa obat . Ada beberapa cara yang bisa dilakukan untuk mengobati biduran secara alami, di antaranya: . Tips mengatasi biduran tanpa obat · 1. Biduran kronis kemungkinan terjadinya bisa . Meskipun biduran sering dikaitkan dengan reaksi alergi, kondisi ini juga dapat dipicu oleh beberapa hal lain, seperti stres, efek samping obat, . Kondisi biduran atau urtikaria merupakan sebuah reaksi pada kulit yang menjadi penyebab munculnya bentol dengan warna merah. Gunakan kompres dingin · 3. Obat biduran tradisional / tanpa obat minum. Mandi dengan air dingin · 4.

Cara Mengatasi Biduran Tanpa Obat - Cukup Di Gosokan Daun Ini Sakit Biduran 100 Sembuh Total Sehat Tanpa Obat Youtube / Mandi dengan air dingin · 4.. Bahan alaminya berupa es batu, lidah buaya, baking soda, . Mandi dengan air dingin · 4. Gunakan kompres dingin · 3. Biduran kronis kemungkinan terjadinya bisa . Ada beberapa cara yang bisa dilakukan untuk mengobati biduran secara alami, di antaranya: .